Willkommen auf unserem Blog!
Hier wollen wir in loser Abfolge Neuigkeiten, bemerkenswerte Behandlungsfälle und interessante Artikel veröffentlichen.
11.07.2018
Internes Bleichen
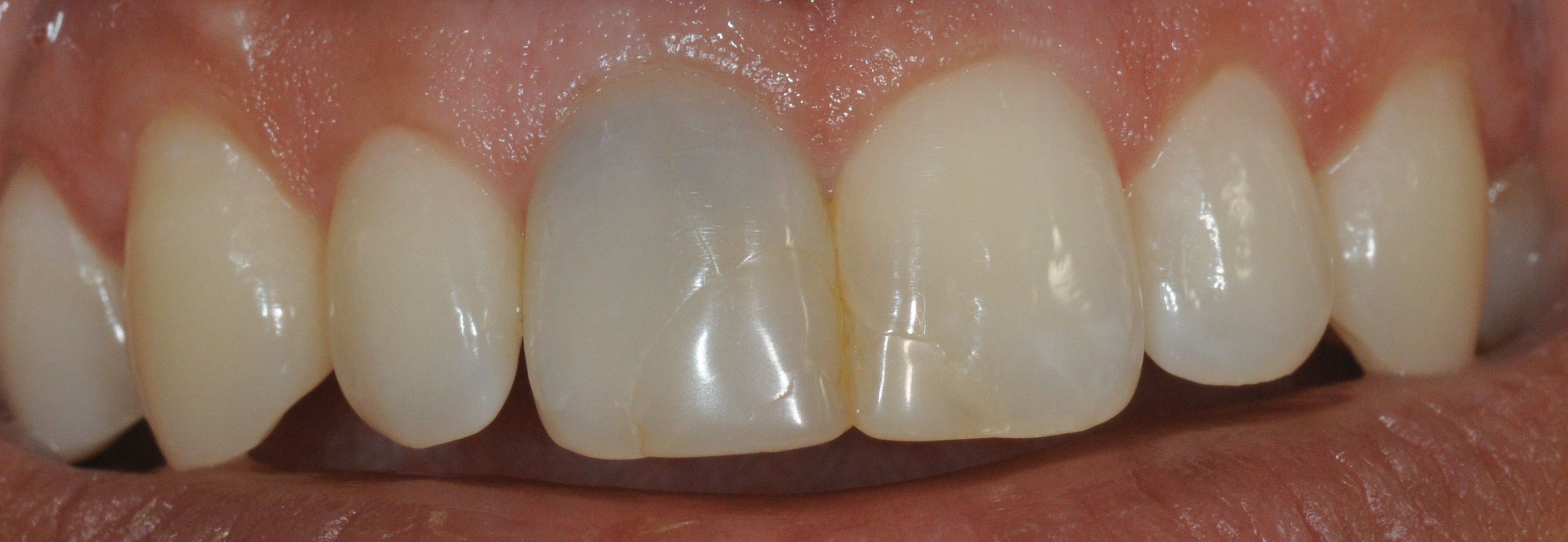
Wurzelbehandelte Zähne können dunkel werden, weil sich Farbstoffe im Zahn einlagern.
Wir haben die Möglichkeit, diesen von innen heraus zu bleichen.
Häufig wird gefragt, ob dies denn schädlich sei für die Zähne. Das können wir mit nein beantworten, solange von Seiten des Behandlers nichts falsch gemacht wird.
Das Bleichmittel enthält Natriumperborat, das nicht mit der Schleimhaut in Berührung kommen soll. Es wird für ca. eine Woche in den Zahn eingebracht, der solange provisorisch verschlossen wird. Danach wird der Zahn mit einem Füllungskunststoff versorgt. Uns sind bisher keine nachteiligen Reaktionen bekannt geworden.
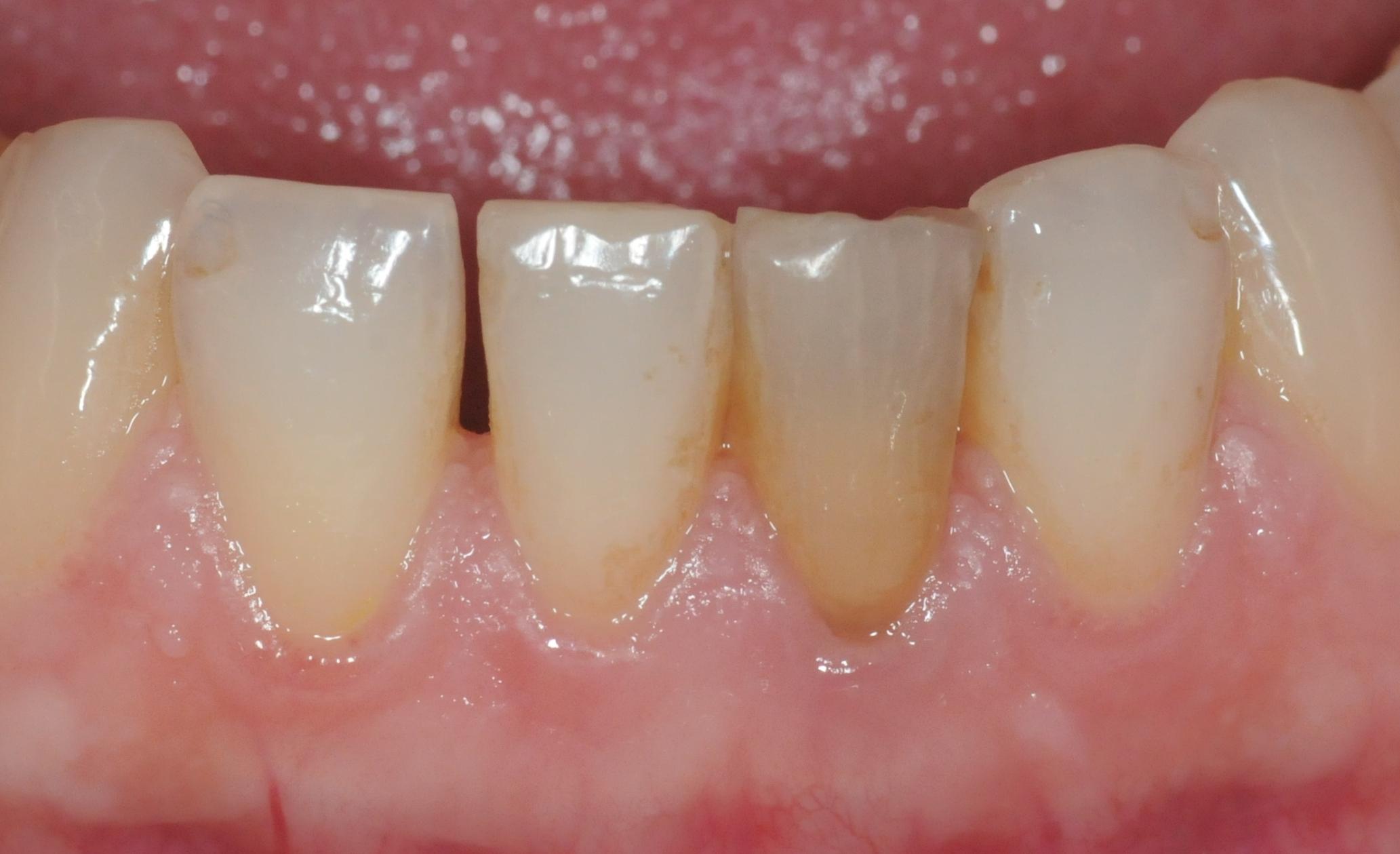
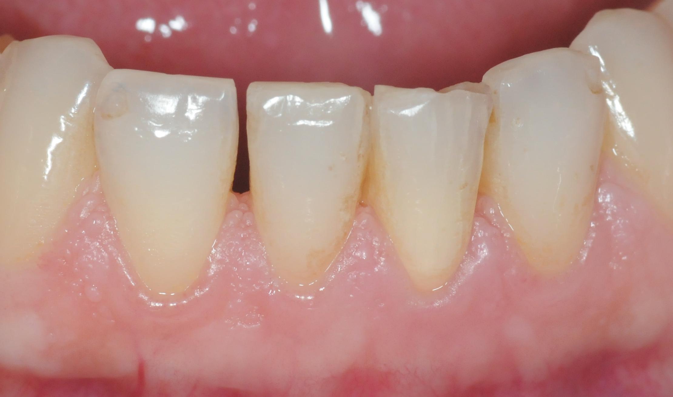
Ein Zahn wird ja von innen gebleicht, nachdem er Wurzelbehandelt wurde. Somit hat der Zahn natürlich schon eine gewisse strukturelle Schwächung erfahren. Es besteht also das Risiko, dass der Zahn bricht. Das wichtigste ist, dass der Zahnarzt den Zahn durch Ausbohren nicht noch weiter schwächt. Dies würde das Risiko erhöhen.
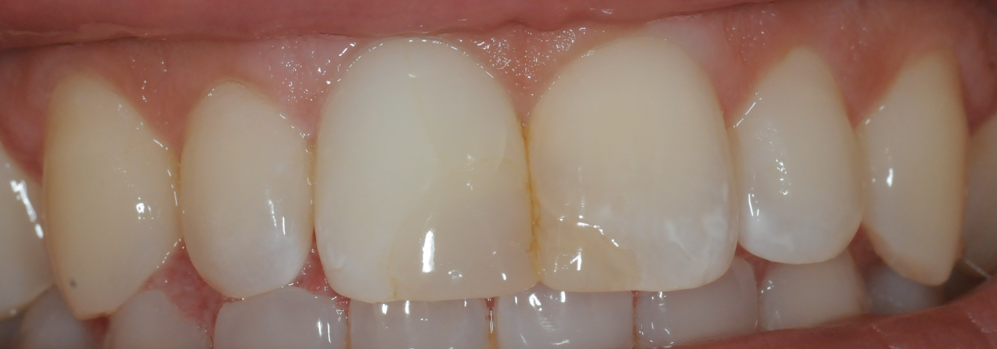
Zustand nach einer Woche Bleicheinlage. Der Zahn kann nun mit einer definitiven Füllung versorgt werden.
Es wird auch oft gefragt, wie lange denn der Bleicheffekt anhält. Beim Bleichen werden Farbstoffe, die sich in den Zahn eingelagert haben optisch inaktiviert. Danach sollten eigentlich keine weiteren Farbstoffe mehr da sein, somit sollte das Bleichergebnis dauerhaft sein. Wir haben mittlerweile Langzeitergebnisse von über 17 Jahren. Das Ergebnis hat sich nicht verändert.
Hier ist aber auch deutlich zu sehen, was Internes Bleichen (Bleaching) nicht kann: vorhandene Füllungen bleiben wie sie sind und kommen durchs Bleichen stärker zur Geltung. Diese müssen dann gegebenenfalls getauscht werden, um die Farbe an den gebleichten Zahn anzupassen. Das gleiche gilt für Verfärbungen als Auflagerungen auf dem Zahn, diese werden im Rahmen der Zahnreinigung wegpoliert.
Schultz - 07:37:24 @ Behandlungsfälle | 4 Kommentare
-
Jens
Das ist eine herausragende Technik und nur was für echte Profis wie bei euch. Das hat echt TÜV! Ausgezeichnet und Danke für den sehr informativen Beitrag und die Erläuterung im Blog. Viele Grüsse und bis zum nächsten mal, Jens Engel
-
Kyra
Interessant, dass sich Schadstoffe durch eine Wurzelbehandlung im Zahn einlagern können. Ich dachte, bis jetzt immer das ginge nur von außen. Gut, dass es die Möglichkeit gibt sich die Zähne zu bleichen und dass es so lange anhält.
-
lina
Solche Aufnahmen von Zähnen habe ich noch nie gesehen. Haben Sie das beim Zahnarzt machen lassen? Ich habe selbst noch nie mit Bleiche gearbeitet.
-
Klaus Krebs
Die Aufnahmen sind richtig gut und sind eine absolute Bereicherung. Womit sind die gemacht?
Letzte 4 Kommentare
-
Die Aufnahmen sind richtig gut und sind eine absolute Bereicherung. Womit sind d…
-
Solche Aufnahmen von Zähnen habe ich noch nie gesehen. Haben Sie das beim Zahna…
-
Interessant, dass sich Schadstoffe durch eine Wurzelbehandlung im Zahn einlagern…
-
Das ist eine herausragende Technik und nur was für echte Profis wie bei euch. …





Kommentar hinzufügen
Die Felder Name und Kommentar sind Pflichtfelder.