Willkommen auf unserem Blog!
Hier wollen wir in loser Abfolge Neuigkeiten, bemerkenswerte Behandlungsfälle und interessante Artikel veröffentlichen.
21.06.2017
Zahnfraktur nach Fahrradsturz
Ein wirklich häufiger Unfall bei Kindern ist der Sturz, in dessen Folge ein noch sehr junger Zahn entweder frakturiert, also abbricht, oder gar ganz herausgeschlagen wird.
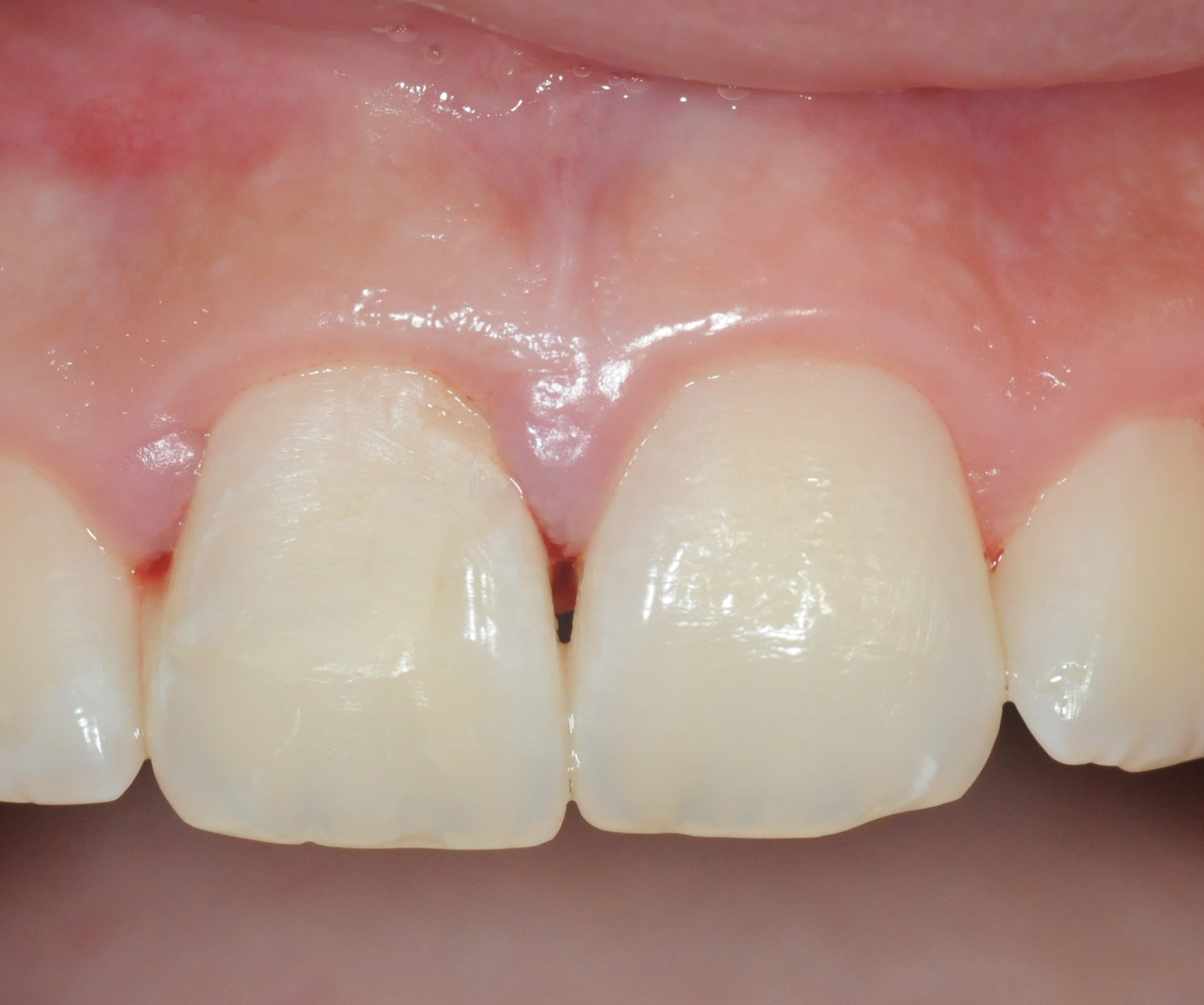
Im hier gezeigten Fall stürzte ein 13 jähriger Junge auf dem Schulweg mit dem Fahrrad. Dabei frakturierte der rechte obere bleibende Schneidezahn, wobei die Bruchlinie so unglücklich verlief, dass sie den Zahn-Nerv freilegte. Höchste Gefahr für den Zahn und Ursache für möglicherweise viele erfolglose Behandlungen mit schlussendlichem Zahnverlust, wenn hier nicht richtig und schnell gehandelt wird.
Leider sind solche Unfälle häufig auch von anderen Verletzungen begleitet, sodass der Rettung des Zahnes manchmal nicht die notwendige Aufmerksamkeit entgegengebracht werden kann.
Wichtig ist natürlich, dass das abgebrochene Stück gefunden und aufbewahrt wird und eine Behandlung so schnell wie möglich erfolgt. Entgegen der weit verbreiteten Meinung ein abgebrochener Zahn müsse in Milch oder im Mund aufbewahrt werden, sollte er idealerweise in physiologischer Kochsalzlösung aufbewahrt werden. Diese ist natürlich selten zur Hand, daher entweder normales Wasser, oder einfach so in einem Schälchen oder Papiertaschentuch. Auf keinen Fall in Milch! Dies stört das spätere Ankleben.
In diesem Fall war nur der rechte obere Schneidezahn ganz isoliert betroffen, der aufgrund des Traumas berührungsempfindlich und aufgrund des freiliegenden Nervs temperaturempfindlich war. Der Nerv ist deutlich zu sehen.
Jugendliche Zähne haben gute Chancen nach einem solchen Trauma vital zu bleiben, wenn die Wunde richtig versorgt wird. Dies geschah mit Biodentine. http://www.septodont.de/sites/de/files/2016-08/brochure.pdf
Ein spezieller künstlicher Dentin-Ersatz, der wegen seiner besonders großen Biokompatibilität, in der Lage ist, den Nerv vital zu erhalten.
Das Zahnfragment wurde mit einem Pulverstrahler abgestrahlt, der Zahn mit Phosphorsäure angeäzt, und mit Panavia, einem besonders guten „Kleber“ wieder fixiert.
Bei späteren Nachkontrollen war der Zahn schmerzfrei und vor allem, ganz wichtig, vital!
Fazit: In der Zukunft sollte bei diesem Zahn regelmäßig die Vitalität geprüft werden. Das angeklebte Fragment wird, aufgrund der Güte des Klebers gut halten, man sollte diesen Zahn aber trotzdem schonen und harte Sachen nicht damit beißen.
Unglücklicherweise sieht die Gebührenordnung der gesetzlichen Krankenkassen keine Abrechenbarkeit vor. Daher ist dies keine Kassenleistung. Jedoch haben wir gute Chancen, wenn es sich um einen Schulunfall handelt, große Teile der Behandlungskosten von der Gemeindeunfallversicherung erstattet zu bekommen. Also immer dran denken: den Unfall immer der Schule melden. Denn oft genug braucht dieser Zahn im Verlauf des weiteren Lebens weitere Behandlungen, die dann jedes Mal von der Gemeindeunfallversicherung gezahlt werden müssen.
Schultz - 16:13:56 @ Behandlungsfälle | Kommentar hinzufügen
Letzte 4 Kommentare
-
Die Aufnahmen sind richtig gut und sind eine absolute Bereicherung. Womit sind d…
-
Solche Aufnahmen von Zähnen habe ich noch nie gesehen. Haben Sie das beim Zahna…
-
Interessant, dass sich Schadstoffe durch eine Wurzelbehandlung im Zahn einlagern…
-
Das ist eine herausragende Technik und nur was für echte Profis wie bei euch. …



Kommentar hinzufügen
Die Felder Name und Kommentar sind Pflichtfelder.