Willkommen auf unserem Blog!
Hier wollen wir in loser Abfolge Neuigkeiten, bemerkenswerte Behandlungsfälle und interessante Artikel veröffentlichen.
06.04.2017
Kosmetische Korrektur bei freiliegenden Zahnhälsen
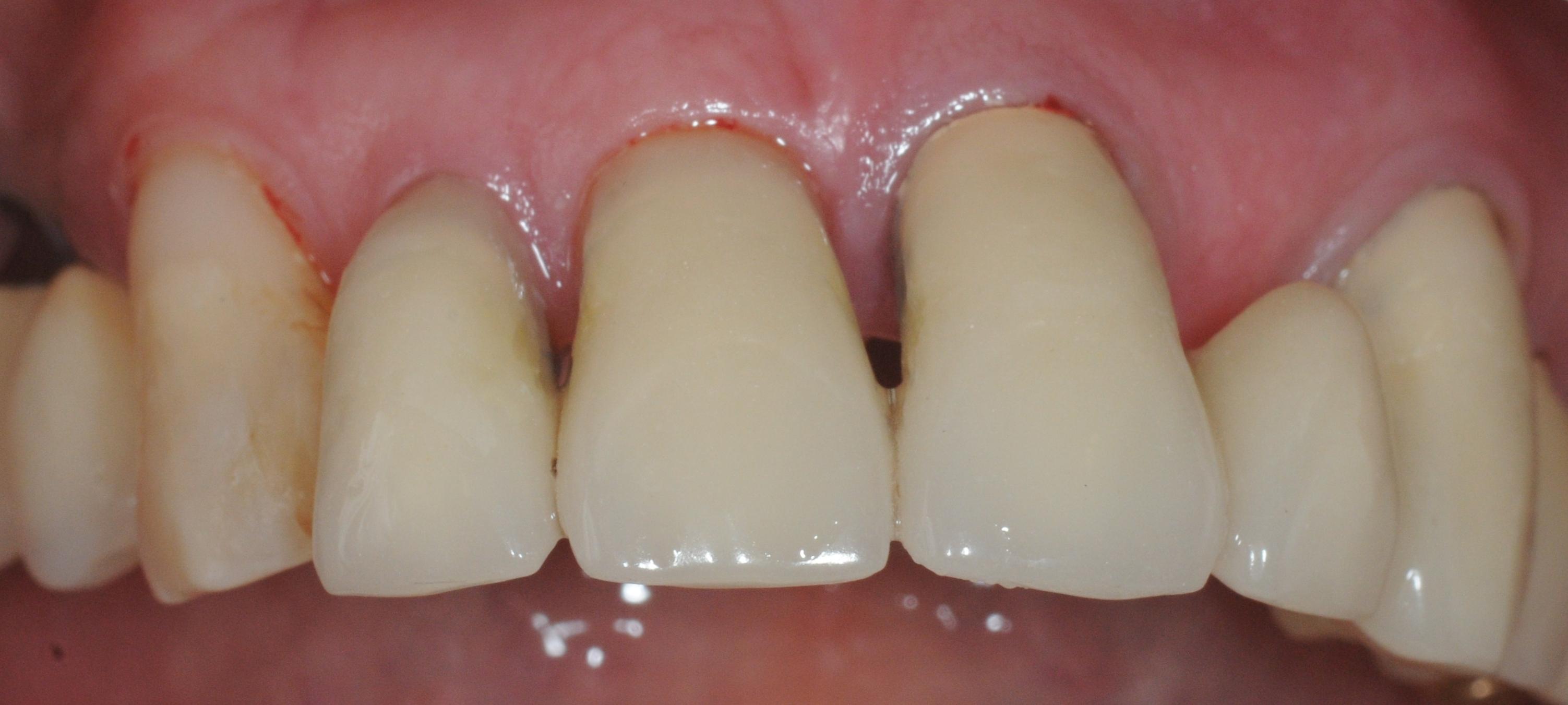
Immer wieder beobachtet man, dass sich im Laufe der Zeit das Zahnfleisch zurückzieht. Der hier gezeigte Fall ist recht ausgeprägt. Wie man sehen kann, sind davon nicht nur mit Kronen restaurierte Zähne, sondern auch die natürlichen Zähne betroffen.
Besonders unschön wird es dann, wenn dadurch die sog. Restaurationsränder, also die Kronenränder vom schützenden Zahnfleisch entblößt werden. Was allerdings wesentlich stärker auffällt, sind nicht die Kronenränder, sondern der freiliegende Wurzelanteil. Sind die Zähne nämlich wurzelbehandelt, so wie hier die im Bild rechten Zähne, so können diese sehr dunkel werden.
Da der Zahnersatz aber noch völlig funktionstüchtig war, entschieden wir uns für eine rein kosmetische Korrektur mit Kunststoff. Natürlich ist dies in diesem Fall recht anspruchsvoll, da die dunklen Bereiche so abgedeckt werden müssen, dass sie nicht wieder durchschimmern.
Wir sind der Meinung, dass dies im vorliegenden Fall gut gelungen ist, und das bei deutlich geringerem Kosten- und Behandlungsaufwand als bei einer Neuanfertigung.
Schultz - 15:27:03 @ Behandlungsfälle | Kommentar hinzufügen
Letzte 4 Kommentare
-
Die Aufnahmen sind richtig gut und sind eine absolute Bereicherung. Womit sind d…
-
Solche Aufnahmen von Zähnen habe ich noch nie gesehen. Haben Sie das beim Zahna…
-
Interessant, dass sich Schadstoffe durch eine Wurzelbehandlung im Zahn einlagern…
-
Das ist eine herausragende Technik und nur was für echte Profis wie bei euch. …


Kommentar hinzufügen
Die Felder Name und Kommentar sind Pflichtfelder.