Willkommen auf unserem Blog!
Hier wollen wir in loser Abfolge Neuigkeiten, bemerkenswerte Behandlungsfälle und interessante Artikel veröffentlichen.
11.07.2018
Internes Bleichen
Wurzelbehandelte Zähne können dunkel werden, weil sich Farbstoffe im Zahn einlagern.
Wir haben die Möglichkeit, diesen von innen heraus zu bleichen. [Mehr lesen…]
Schultz - 07:37:24 @ Behandlungsfälle | 4 Kommentare
02.12.2017
Kariesinfiltration
Auf ihrer Seite Bohren-nein-danke informiert die Firma DMG über die Kariesinfiltration mit ICON. [Mehr lesen…]
Pflueger - 13:48:01 | Kommentar hinzufügen
13.11.2017
Verschenken Sie kein Geld!
Alle Jahre wieder … [Mehr lesen…]
Pflueger - 17:41:11 @ Allgemein | Kommentar hinzufügen
27.10.2017
Daumen hoch
Manchmal wird man einfach belohnt!
Wenn am Ende der Behandlung
der Daumen hoch gestreckt wird,
kann das lange Wochenende
kom
men.
Pflueger - 15:42:45 | Kommentar hinzufügen
21.06.2017
Zahnfraktur nach Fahrradsturz
Ein wirklich häufiger Unfall bei Kindern ist der Sturz, in dessen Folge ein noch sehr junger Zahn entweder frakturiert, also abbricht, oder gar ganz herausgeschlagen wird. [Mehr lesen…]
Schultz - 16:13:56 @ Behandlungsfälle | Kommentar hinzufügen
15.05.2017
Diagnocam - Neue Wege in der Kariesdiagnostik

Eine exakte und frühzeitige Kariesdiagnostik ist ein wesentlicher Grundpfeiler moderner Zahnerhaltung. [Mehr lesen…]
Schultz - 18:18:13 @ Allgemein, Was gibts Neues in der Praxis | Kommentar hinzufügen
06.05.2017
Thema Zahnreinigung und Parodontitis auf 3sat
Die Parodontologie liegt uns besonders am Herzen. [Mehr lesen…]
Pflueger - 21:14:06 @ Neues aus der Fachpresse | Kommentar hinzufügen
28.04.2017
Abschied

Es heißt Abschied nehmen. [Mehr lesen…]
Schultz - 16:49:28 @ Was gibts Neues in der Praxis | Kommentar hinzufügen
06.04.2017
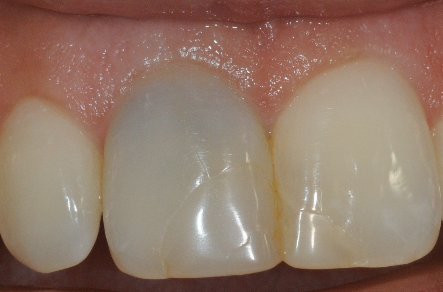
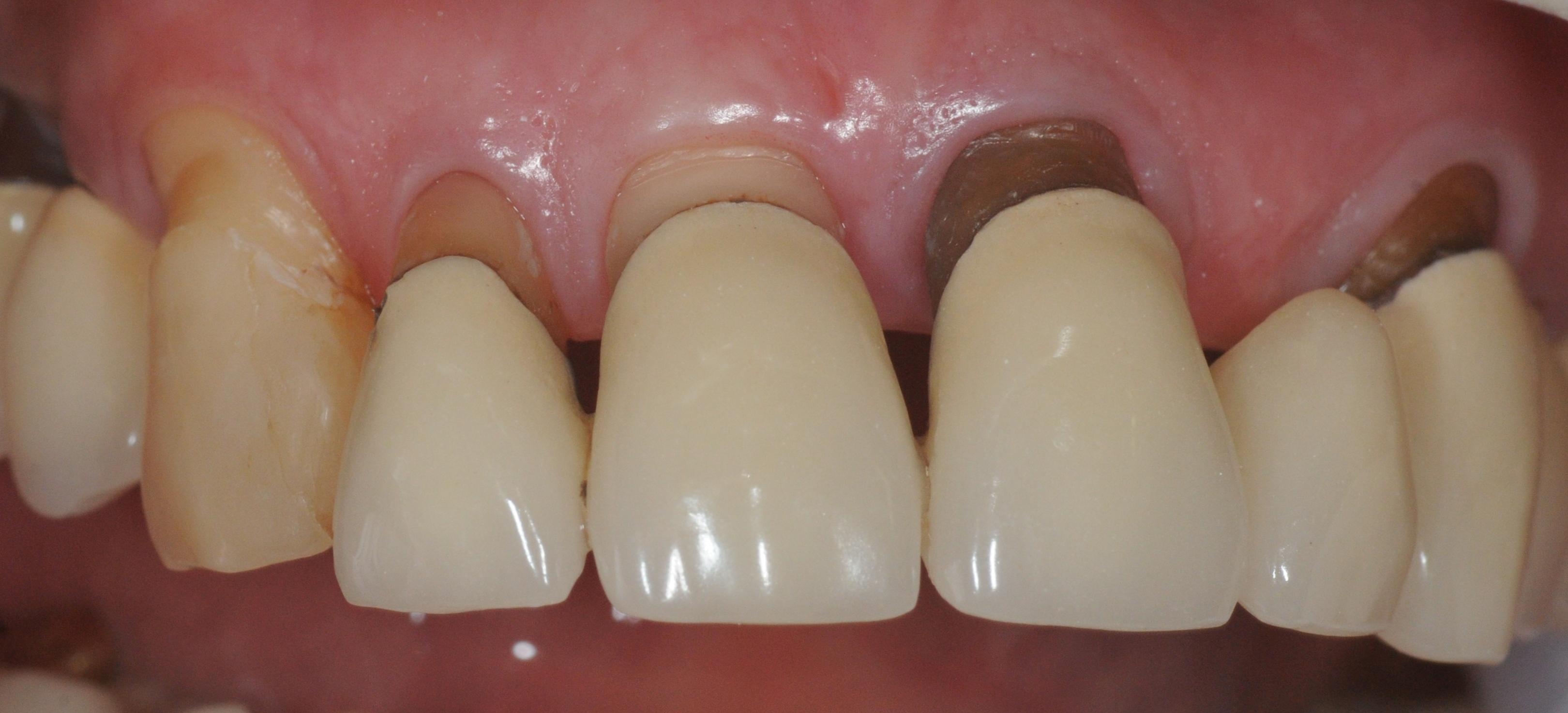
Kosmetische Korrektur bei freiliegenden Zahnhälsen
Immer wieder beobachtet man, dass sich im Laufe der Zeit das Zahnfleisch zurückzieht. [Mehr lesen…]
Schultz - 15:27:03 @ Behandlungsfälle | Kommentar hinzufügen
29.03.2017
Ästhetische Korrektur bei Schmelzbildungsstörung
Die Amelogenesis imperfecta ist eine angeborene Störung der Schmelzbildung des Zahnes. [Mehr lesen…]
Schultz - 21:32:44 @ Behandlungsfälle | Kommentar hinzufügen
Zahnbehandlungsangst in der Münchner Abendzeitung
.jpg&filetype=image)
Seit vielen Jahren ist das Thema Angst vor der Zahnbehandlung einer der Schwerpunkte unserer Praxis.
Zahlreiche Seminare sorgen für das nötige Wissen, regelmäßig treffen sich die Mitglieder des bundesweiten Netzwerkes zum Erfahrungsaustausch und zur Wissensauffrischung.
Anlässlich des letzten Supervisionsseminars in München konnte die Redaktion der Münchener Abendzeitung für das Thema Angst vor dem Zahnarzt interessiert werden, in der ganzen Stadt war das Thema präsent. [Mehr lesen…]
Pflueger - 21:15:29 @ Angst vor der Zahnbehandlung | Kommentar hinzufügen




Letzte 4 Kommentare